قضية عقارات أليكانتي: إصدار بطاقات بالسجن في حق 3 متهمين
أصدر قاضي التحقيق بالقطب الاقتصادي والمالي، اليوم الخميس 11 جوان، ثلاث بطاقات إيداع بالسجن في حق تون...
النائب زياد الغناي يتضامن مع جلال بريك
عبر النائب عن التيار الديمقراطي والمترشح عن إحدى دوائر التونسيين بالخارج زياد غناي ، اليوم الخميس 11...
برهان بسيس: الدفاع عن الإسلام ماهوش طريحة تعطيها لجلال بريك
قال كرونيكور راف ماغ برهان بسيس ، اليوم الخميس 11 جوان 2020 ، أن ما أتاه مجموعة شبان في حق الناشط ال...
هشام السنوسي: وصول بث إذاعة سعيد الجزيري إلى صفاقس حالة فساد موصوف
كتب هشام السنوسي عضو الهيئة العليا للاتصال السمعي البصري على صفحته بالفايسبوك اليوم الأربعاء 11 جوان...
وزارة النقل تأسف لإضراب أعوان شركة الشحن والترصيف
أعربت وزارة النقل واللوجستيك في بلاغ لها اليوم الأربعاء 10 جوان 2020 عن عميق أسفها لعدم التوصل إلى...
وفاة طالب لجوء سوداني بمستشفى الرابطة واتهامات بالتقصير وغياب الرعاية
توفي أمس طالب لجوء سوداني يدعم أيوب هاشم بمستشفى الرابطة بالعاصمة نتيجة التقصير وغياب الرعاية الصحية...
اشتباكات بالأيدي أمام البرلمان بين الأمن ومعطلين عن العمل من أصحاب الشهائد
نظم اتحاد أصحاب الشهائد المعطلين عن العمل وقفة احتجاجية اليوم الأربعاء 10 جوان أمام مقر مجلس نواب ال...
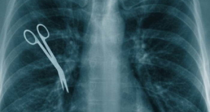
طبيب ينسى مقص في بطن المريضة بعد عملية جراحية بمصحة خاصة بالعاصمة
قررت مريضة مقاضاة طبيب جراح و مصحة بالمركز العمراني الشمالي بالعاصمة بعد أن تبين أن الطبيب نسي مقصّا...
صفاقس: البحر يلفظ جثث 20 مهاجرا إفريقيا غير نظامي والنيابة تباشر التحقيقات
أفاد مراد التركي مساعد الوكيل العام بمحكمة الاستئناف والناطق الرسمي باسم محاكم صفاقس في بلاغ نشره ال...
سنية الدهماني: من حكمت ببراءة سليم شيبوب من تهمة التحرش قاضية إمرأة
قالت كرونيكوز راف ماغ سنية الدهماني ، اليوم الثلاثاء 9 جوان 2020 ، أن من اصدرت الحكم بعدم سماع الدعو...

